急性髓系白血病(Acute myeloid leukemia,AML)是髓系造血干/祖细胞恶性疾病。以骨髓与外周血中原始和幼稚髓性细胞异常增生为主要特征,临床表现为贫血、出血、感染和发热、脏器浸润、代谢异常等,多数病例病情急重,预后凶险,如不及时治疗常可危及生命。化疗、靶向药物和造血干细胞移植目前仍是AML治疗的主要手段。
AML患者在临床表现和治疗预后方面呈现很大的异质性,因此在治疗前进行充分的危险度分层对于选择合理的治疗路径尤为重要。影响预后的AML细胞相关因素包括患者的白细胞计数、形态学特点、免疫学特点、细胞遗传学特征及分子异常等。其中,AML细胞遗传学和分子遗传学特征是最重要的预后判断要素。
表1 2017年欧洲白血病网络(ELN)急性髓系白血病危险度分层体系
t(8:21)(q22;q22.1)(AML1/ETO)作为预后良好的因子,那么AML1/ETO阳性急性髓系白血病生物学特性是怎样的呢?

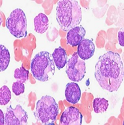
急性粒细胞白血病(部分分化型)M2b髓象
急性髓系白血病M2b形态学和免疫表型表明,细胞核浆发育不平衡现象实际是胞核,胞质的多种蛋白形成紊乱造成的。有研究发现AML1/ETO与这种蛋白紊乱的现象有联系。该研究还发现,基因水平的异常比细胞水平的异常出现的更早、更广泛,因此,基因检测在AML1/ETO阳性急性髓系白血病中非常重要。美国国立综合癌症网络NCCN肿瘤临床实践指南推荐FISH作为AML1/ETO检测方法。
AML1-ETO基因是AML中最常见的融合基因之一,由t(8;21)(q22;q22)染色体易位,导致位于21q22上的AML1基因(又名RUNX1基因)与8q22上的ETO基因(又称为RUNX1T1或MTG8基因)融合而成。解放军总医院第一附属医院研究发现,研究中8例M2患者常规显带发现仅有2例包含t(8;21),且有2例标本无分裂相,经D-FISH检测后显示4例AML1/ETO基因阳性,大大提高了检出率。对于2例无分裂相的标本,FISH检测发现AML1/ETO基因均呈阳性。FISH检测大大降低了漏检率,特别是对于无分裂相或分裂相少不足以显示克隆性染色体重排的病例,为临床诊断和治疗提供重要信息。

t(8;21)(q22;q22)原位杂交是用荧光染料标记dJ155L8 (RUNX1T1) 和dJ1107L6 (RUNX1 ),检测信号
接下来我们来看一下AML1/ETO阳性急性髓系白血病误诊的一个病例:
▲初诊:骨髓增生异常综合征-难治性贫血伴原始细胞增多 (MDS-RAEB)
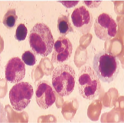
胸骨骨髓像: 取材涂片染色良好,骨髓增生活跃,其中粒系60.5%,红系26.0%,粒系比例及形态未见明显异常,原始粒细胞0.5%。红系以中晚幼红细胞增生为主,形态未见明显异常。
图1骨髓像显示:增生活跃,粒系比例及形态未见
明显异常,可见中晚幼红细胞(Wright×1000)
▲最终诊断:急性髓系白血病伴t(8;21)
采用FISH检测AML1/ETO为阳性。如伴有此基因异常,即使骨髓中原始细胞<20%,也应诊断为AML,而不是MDS-RAEB。如该患者未行骨髓染色体检测,则可能出现持续误诊。
因此,为避免对AML1/ETO类患者进行误诊,应在骨髓细胞形态学检测基础上行常规性骨髓病理检测及染色体检测,如发现异常,则进一步行流式细胞免疫分型及相关基因检测。只有综合细胞形态学、免疫学、细胞遗传学和分子生物学分型,才能避免误诊的发生。
6776永利集团独立自主知识产权的FastProbe 具有如下特征:
●杂交时间仅为2小时(血液探针1小时)
●特异性和敏感度较传统FISH探针更高
●抗淬灭效果好
参考文献
1. Gmidène A, et al. (2010) Med Oncol: 28 Suppl 1: 509-12.
2. Canaani, J., et al., Impact of FAB classification on predicting outcome in acute myeloid leukemia, not otherwise specified, patients undergoing allogeneic stem cell transplantation in CR1: An analysis of 1690 patients from the acute leukemia working party of EBMT. Am J Hematol, 2017.
3. Pan, J.Q., et al., lncRNA co-expression network model for the prognostic analysis of acutemyeloid leukemia. Int J Mol Med, 2017.
4. Li, Y., et al., Clinical implications of genome-wide DNA methylation studies in acute myeloid leukemia. J Hematol Oncol, 2017. 10(1): p. 41.
END
【声明】部分文章和信息来源于互联网,不代表本订阅号赞同其观点和对其真实性负责。如转载内容涉及版权问题,请立即与我们联系(张女士15207147961),我们将迅速采取适当措施。
微信扫一扫
关注该公众号